Docteur Florence Hababou Behar - Orthodontiste Paris 8
Docteur Florence Hababou Behar - Orthodontiste Paris 8
Spécialiste Qualifiée en Orthopédie Dento-Faciale - CECSMO
Spécialiste en Orthodontie pour Enfants et Adultes

Votre sourire aligné et esthétique : Orthodontie Invisalign® à Paris

  • Pas de bagues, pas de fils, pas de crochet.
  • Moins douloureux 
  • Repositionne vos dents 
Docteur Florence Behar orthodontiste

Qu'est-ce que l'orthodontie avec gouttières d'alignement ?

C’est un système d’alignement orthodontique qui consiste à porter une série d’aligneurs transparents et amovibles qui alignent progressivement les dents. Pas de bagues, pas de fils, pas de crochet. Les gouttières sont quasi invisibles pour vous et pour vos proches. Elles sont également amovibles et vous permettent de vivre votre vie normalement avec un minimum de contraintes. De plus, grâce à l’application de force modérée et constante, le traitement par gouttière d’alignement de type Invisalign® est moins douloureux.

Les avantages et les inconvénients des traitements orthodontiques avec des gouttières d’alignement

Avantages des gouttières d’alignement

  • Esthétique discrète :
    L’un des principaux avantages des gouttières d’alignement est leur discrétion. Fabriquées en plastique transparent, elles sont presque invisibles, ce qui permet aux patients de sourire sans se sentir gênés par des appareils métalliques.
  • Confort accru :
    Les gouttières sont généralement plus confortables que les appareils traditionnels. Elles ne comportent pas de fils ou de brackets qui peuvent provoquer des irritations dans la bouche. De plus, elles sont conçues sur mesure pour s’ajuster parfaitement à la dentition de chaque patient.
  • Amovibilité :
    Contrairement aux appareils fixes, les gouttières d’alignement peuvent être retirées pour manger, boire, se brosser les dents ou utiliser du fil dentaire. Cela facilite le maintien d’une bonne hygiène bucco-dentaire durant le traitement, ce qui est crucial pour prévenir les caries et les maladies des gencives.
  • Prévisibilité des résultats :
    Les traitements avec gouttières d’alignement sont souvent accompagnés d’un plan de traitement numérique. Cela permet aux patients de visualiser les résultats attendus avant même le début du traitement, ce qui peut renforcer leur motivation et leur engagement.
  • Moins de visites chez l’orthodontiste :
    Les patients portant des gouttières d’alignement nécessitent généralement moins de visites de suivi chez l’orthodontiste que ceux avec des appareils fixes. Les ajustements se font principalement par le changement de gouttières, ce qui peut être plus pratique pour les personnes ayant un emploi du temps chargé.

Inconvénients des gouttières d’alignement

  • Dépendance à la coopération du patient :
    L’efficacité des gouttières d’alignement dépend fortement de la discipline du patient. Elles doivent être portées pendant 20 à 22 heures par jour pour être efficaces. Les patients qui ne respectent pas ces recommandations risquent de prolonger leur traitement ou d’obtenir des résultats insatisfaisants.
  • Limitations dans les cas complexes :
    Bien que les gouttières d’alignement soient efficaces pour de nombreux cas, elles ne conviennent pas toujours aux malocclusions sévères ou complexes. Dans de tels cas, les appareils traditionnels peuvent être nécessaires pour obtenir les résultats souhaités.
  • Coût :
    Le coût des traitements avec gouttières d’alignement peut être plus élevé que celui des appareils fixes traditionnels. Bien que de nombreuses assurances dentaires couvrent partiellement le coût des traitements orthodontiques, il est important de vérifier les détails de la couverture.
  • Inconfort initial :
    Comme pour tout traitement orthodontique, les gouttières d’alignement peuvent provoquer un certain inconfort, surtout lors du changement de gouttières. Les patients peuvent ressentir une pression sur leurs dents, bien que cela soit généralement temporaire.
  • Possibilité de perte ou de dommage :
    Étant amovibles, les gouttières peuvent être perdues ou endommagées, ce qui peut entraîner des retards dans le traitement et des coûts supplémentaires pour en remplacer une.

Conclusion

Les gouttières d’alignement représentent une option attrayante pour de nombreuses personnes cherchant à corriger des problèmes orthodontiques. Leurs avantages en termes d'esthétique, de confort et de praticité sont indéniables. Cependant, il est essentiel de considérer également leurs inconvénients, notamment la nécessité d'une coopération active et les limitations pour certains cas. Avant de prendre une décision, il est recommandé de consulter un orthodontiste qui pourra évaluer la situation dentaire individuelle et proposer la meilleure solution pour atteindre un sourire sain et harmonieux.

Déroulement du traitement orthodontique par gouttière d’alignement

1ère consultation

Moule de vos empreintes dentaires, radio & photo

Pose des gouttières

Contrôle & comparaison

Double contention pour garder votre sourire

Chaque gouttière déplacera un peu vos dents jusqu’à la position souhaitée dans votre plan de traitement, c’est donc un traitement progressif jusqu’à l’obtention de l’alignement parfait de vos dents dans votre sourire.

Besoin de plus de renseignement ?

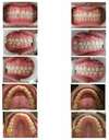
À quoi ressemble un traitement avec des gouttières d'alignement avant / après

Appareil orthodontique pour adultes, cabinet paris 8

La méthode de traitement de votre Docteur Behar

En tant qu'orthodontiste à Paris 8, le docteur Florence H. BEHAR est formé au système du type Invisalign® ; elle va créer un plan de traitement numérique (à partir d’une empreinte numérique) adapté à votre cas qui détaille les mouvements exacts de vos dents, des racines et des couronnes.

Vos aligneurs transparents sont ensuite conçus  « sur-mesure » pour appliquer la force nécessaire au bon endroit au bon moment en fonction de votre plan de traitement. Le docteur BEHAR est formé au système du type Invisalign®, et sera à vos côtés à chaque étape pour suivre l’évolution de votre traitement et s’assurer que vos aligneurs s’ajustent correctement.

Les mouvements de vos dents sont détaillés à travers un tableau de mouvements et calculés en fonction de la position de vos dents initiale dans l’os. Vos aligneurs transparents sont ensuite conçus « sur-mesure ».

Les conseils d'utilisation

Non ! les chewing-gum risquent de se coller sur les gouttières ! il est donc préférable de retirer ses gouttières d’alignement si vous avez envie d’un chewing-gum.

Les aligneurs sont à porter en réalité 18h/24. En effet, vous pourrez les retirer pour tous les repas en y ajoutant 3-4 heures dans la journée. Dans la pratique, cela vous laisse une partie de la martinée ou une partie de l’après-midi sans appareillage dentaire ; ce qui est plutôt très apprécié et très confortable.

Le plus important étant de TOUJOURS SE REBROSSER LES DENTS AVANT DE REMETTRE SES GOUTTIERES.

Vous pourrez aussi les retirer pour une occasion particulière comme une soirée, un mariage, un entretien professionnel, une réunion, une plaidoirie, ou une séance de sport ou enfin pour jouer d’un instrument à vent !

La façon la plus simple de nettoyer ses gouttières est d’utiliser du liquide vaisselle transparents « sensitive ». Vous pourrez également utiliser des pastilles effervescentes que vous trouverez en pharmacie. Il est primordial de s’être brossé les dents avant de remettre ses g gouttières d’alignement !

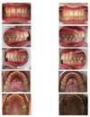
Appareil orthodontique pour adultes, cabinet paris 8

Le traitement par gouttières d’alignement de type Invisalign® est-il adapté aux enfants et aux adolescents ?

Le traitement par gouttières d’alignements est également adapté aux enfants et aux adolescents qui présentent une malocclusion simple à complexe. De nos jours, les traitements par gouttières d’alignements ont permis de corriger les sourires de plus de 3 millions de jeunes patients dans le monde ! Les aligneurs sont amovibles afin d’être le plus compatible possible avec les habitudes alimentaires ou les activités sportives des jeunes patients. Un indicateur de port sous la forme d’un petit point bleu discret placé sur les aligneurs est également disponible en option, afin de vous assurer que votre enfant porte bien ses gouttières.

Corriger le positionnement des dents avec le traitement invisible

Avantages

Les gouttières d'alignement représentent aujourd’hui une alternative efficace au traitement d’orthodontie classique avec des bagues céramique ou métallique. Ces gouttières sont très discrètes et quasi invisibles. Elles permettent un accès aux patients adultes, à une orthodontie, discrète, avec un minimum de contraintes. Ces gouttières permettent de corriger dans la grande majorité des cas avec de très bons résultats et une grande discrétion. La durée moyenne d’un traitement est de neuf à 12 mois.

Inconvénients

L’inconvénient est tout d’abord de ne pas les perdre ou les casser ! Aussi, de bien se rebrosser les dents avant de les remettre surtout après le déjeuner

Notre clinique spécialisée en orthodontie
gouttières d'alignement à Paris 8

  • Une équipe d'orthodontistes expérimentés et certifiés Invisalign®
  • Technologies et équipements de pointe pour un traitement optimal
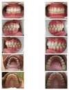
avantages bagues orthodontie

Ils ont recouru au traitement avec gouttières d'alignement

Avis Google Florence Behar - orthodontiste
Avis Google Florence Behar - orthodontiste
Avis Google Florence Behar
Avis Google Florence Behar

Le budget à prévoir pour un traitement par gouttière dépend de la complexité du cas et de la durée du traitement. Les tarifs peuvent varier
- pour un cas simple correspondant à une durée de traitement de 6-9 mois entre 2800 € et 36000€
- pour un cas plus complexe correspondant a une durée de traitement de 15-18 mois entre 4500€ et 6000€.
- pour un traitement de 2 ans ou plus, il faut compter environ 7200€
La prise en charge par la sécurité sociale peut être effective avant l’âge de 16 ans pour les adolescents, et la mutuelle pourra compléter. après 16 ans, ce ne sera que la Mutuelle qui pourra intervenir.

Le coût des traitements par gouttière de alignement varie en fonction de la durée du traitement et de la difficulté du cas. Pour un traitement à l’aide de gouttière d alignement type Invisalign R Il faut compter un budget à partir de 2800 euros

L’orthodontie chez le patient depuis le 16 ans n’est pas pris en charge par la sécurité sociale mais uniquement par la mutuelle en fonction de votre contrat. Le cabinet du docteur Florence Behar pourra vous accompagner dans vos démarches administratives avec votre mutuelle et vous propose des facilités de paiement. La prise en charge de votre traitement d’orthodontie sera variable d’une mutuelle à l’autre. Il sera donc nécessaire de vous rapprocher de votre mutuelle ou de lui envoyer le devis que le Dr Florence BEHAR vous établira afin de connaître précisément les remboursements auxquels vous pourrez prétendre.

Le docteur Florence Behar a bien conscience du budget d’un traitement d’orthodontie et pourra. Par conséquent vous proposer un étalement des règlements par mois afin de faciliter au mieux le financement de votre traitement. L’assistante du Docteur Behar se tient à votre disposition pour organiser avec vous la meilleure solution de paiement.

Création et référencement du site par Simplébo Créer un site internet de dentiste

Connexion

Prendre rendez-vous en ligneDoctolib