Docteur Florence Hababou Behar - Orthodontiste Paris 8
Docteur Florence Hababou Behar - Orthodontiste Paris 8
Spécialiste Qualifiée en Orthopédie Dento-Faciale - CECSMO
Spécialiste en Orthodontie pour Enfants et Adultes

Quand commencer un traitement d’orthodontie ?

L’orthodontie a pour but de corriger la position des mâchoires et des dents. Une consultation vers l’âge de 6-7 ans permettra de détecter un verrou de croissance. En effet, la croissance staturale suit la croissance maxillo-faciale, donc s’il existe un verrou au niveau du massif facial, la croissance intrinsèque programmée de l’enfant ne pourra pas s’exprimer au niveau des mâchoires.

soin orthodontie

Bon à savoir

Un patient qui suce son pouce ou ses doigts doit être sensibilisé et comprendre pourquoi il doit arrêter.

Les verrous de croissance

Lorsque l’enfant sert ses dents, il est obligé de dévier sa mâchoire du bas pour obtenir un engrènement, des dents du haut avec celle du bas : d’un côté ou des deux, les dents du haut se retrouvent engrenées à l’intérieur des dents du bas. Ce qui doit normalement être l’inverse.

Lorsque l’enfant serre les dents : les dents du bas ne sont pas visibles et les dents du haut touchent quasiment la gencive au niveau des dents du bas. Dans ce cas, la croissance verrouillée « s’enroule sur elle-même » et le décalage antéro-postérieur va s’aggraver avec le temps. L’enfant peut également présenter des morsures palatines des dents du bas qui mordent le palais à chaque fois que l’enfant serre les dents. Il peut arriver que l’enfant en ait conscience et s’en plaigne.

Ce sont des enfants toujours fatigués, cernés et souvent agités. Chez eux, un rétablissement des fonctions de respiration et du positionnement de la langue au niveau du palais permettra au palais, de se développer, de façon harmonieuse. Ainsi, une correction des dysfonctions oro- faciales aura une répercussion sur la croissance, rétablissant ainsi une sollicitation harmonieuse des sites de croissance du massif facial.

Un décalage antéro-postérieur important exposant les incisives du haut à un risque de fracture doit être pris en charge le plus tôt possible, afin de protéger les incisives maxillaires.

L’orthodontie : Quel appareil choisir ?

Le type d’appareil dépendra de l’âge du patient et du cas clinique

LE PATIENT EN CROISSANCE

–si le patient est en croissance : le traitement aura pour objectif de solliciter les sites de croissance du massif facial afin de corriger les décalages des mâchoires. Les décalages des mâchoires peuvent affecter :

Le patient nécessitera la pose d’un appareil d’expansion maxillaire, qui existe en version fixe ou amovible, le docteur Behar proposera une version fixe ou amovible en fonction du patient et du stade de maturation des dents et de l’importance du décalage. 

Chez les plus jeunes, le docteur BEHAR posera une plaque maxillaire avec un vérin d’expansion maxillaire donc un appareil amovible ;  

 

Chez les plus âgés plutôt un disjoncteur inter maxillaire soudé sur des bagues molaires donc fixe.

Plusieurs solutions existent toujours en fonction de l’âge du patient, de l’importance du décalage et du stade de maturation des dents. 

Le docteur Behar pourra poser un plan de morsure rétro incisif soudé sur des bagues molaires (appareil Orthodontique fixe et invisible)  ou alors simplement coller des petites cales d’élévation au niveau des dents de lait, afin que le patient récupère une dimension verticale permettant un déverrouillage des mâchoires et permettant ainsi à la croissance intrinsèque du patient de s’exprimer. Si la croissance va dans le sens de la correction, alors avec un simple déverrouillage grâce aux petites cales, le décalage va se résoudre. 

Pour corriger le sens antero postérieur chez un patient en croissance, Il s’agit de solliciter le cartilage au niveau du condyle qui est un cartilage secondaire de croissance adaptative, c’est-à-dire que ce cartilage répondra à une sollicitation et provoquera une croissance, mais ne s’exprimera pas, si on ne le sollicite pas. 

Les appareils qui vont solliciter ce cartilage de croissance au niveau du condyle sont : 

Une bielle de herbst

c’est un appareil amovible plutôt utilisé chez le patient en denture mixte c’est à dire vers 8-11 ans. La bielle de Herbtz place le patient en propulsion mandibulaire permettant ainsi l’activation de ce cartilage. Cette bielle de Herbtz est à porter le plus possible en principe après l’école, la nuit et les week-ends. Il est possible d’associer à la bielle un vérin maxillaire afin de corriger le sens transversal en même temps. Cette décision appartient au docteur Behar qui décidera d’ajouter ou non un vérin en fonction de l’importance du décalage transversale, associé au décalage antéro-postérieur.

Si le patient est plus âgé (patient qui a perdu toutes ses dents de lait) vers 12 ans, le docteur Behar posera des bagues, en haut, et en bas et associera aux bagues orthodontiques métalliques ou céramiques , la pose d’un FORSUS qui placera également le patient en propulsion mandibulaire, et qui agira exactement comme la bielle de Herbtz , sollicitant ainsi le cartilage condylien de croissance secondaire, adaptative.

  • QUAND FAUT-IL PRENDRE EN CHARGE UN ENFANT ?
  • À QUEL ÂGE FAUT-IL CONSULTER UN ORTHODONTISTE ?
  • POURQUOI ? QUEL EST LE BENEFICE POUR L’ENFANT ?

Pour répondre simplement à ces interrogations :

L’Age de raison c’est-à-dire à 7 ans correspond à un bon âge pour venir consulter un orthodontiste afin de faire le point sur le nécessité d’entreprendre un traitement orthodontique précoce. En effet, dans plusieurs cas il est vraiment très bénéfique pour l’enfant de commencer une 1ere phase de traitement orthodontique précoce qui sera suivi ou non d’une 2e phase de traitement orthodontique plus tard avec des bagues.

Voici les différentes situations nécessitant un traitement orthodontique précoce :

- Lorsque l’enfant serre les dents, on ne voit pas du tout les dents du bas ; il peut même exister des morsures palatines (l’enfant se mord !) car les incisives du bas touchent la gencive à chaque fois que l’enfant serre les dents. Il est donc impératif de commencer un traitement orthodontique très tôt afin de redonner une hauteur correcte à l’étage inférieur du visage de l’enfant, de le soulager d’éventuelles morsures au niveau du palais et de libérer la croissance de la mandibule vers l’avant. Dans ce cas, cette croissance de la mandibule vers l’avant est verrouillée et le décalage des maxillaires ne va faire que s’accentuer au fur et à mesure que l’enfant grandi ! un petit décalage peut s’aggraver de plus en plus si on laisse ce verrou de croissance !

 - Lorsque l’enfant serre les dents du fond, celles de devant ne se recouvrent pas du tout : c’est ce qu’on appelle une béance ou infraclusion. Elle est souvent la résultante d’habitudes déformantes comme la succion du pouce ou de la tétine. L’élocution est altérée et il en résulte très fréquemment un chuintement, un «cheveu sur la langue » et une dysfonction linguale. La langue va tout le temps se positionner dans « le trou » et la déglutition ne va pas pouvoir devenir mature. La langue va constamment entretenir cette béance et tout l’environnement fonctionnel sera perturbé.

De plus, l’enfant ne peut pas croquer ; la fonction de préhension des aliments est inexistante.

- L’enfant est « accro » à la tétine ou à son pouce : il a été souvent prouvé qu’une prise de contact chez l’orthodontiste, qui lui expliquera les dégâts qui peuvent être causés par ces habitudes, peut faire un déclic chez l’enfant par une prise de conscience. De cette manière, les habitudes déformantes disparaissant, les dégâts sur les mâchoires seront moindres.

- Lorsque l’enfant n’arrive pas à caler ses mâchoires et dévie pour obtenir ce calage. C’est en fait la mâchoire du haut qui est trop étroite et qui ne permet pas aux mâchoires de s’engrener.

C’est un trouble fonctionnel qui peut, s’il n’est pas traité orthodontiquement tôt, peut devenir un trouble squelettique à savoir une asymétrie squelettique nécessitant à l’âge adulte une chirurgie maxillo faciale.

- Lorsque l’enfant a eu 2 dents de lait qui sont tombées et qu’une seule dent permanente pousse à la place. C’est qu’il y a un souci de place dans la bouche et l’intérêt d’entreprendre un traitement orthodontique précoce dit d’interception va être de faire la place nécessaire en bouche afin de ne pas avoir recours aux extractions de dents définitives.

- Lorsque l’enfant serre les dents ; celles du haut passent derrière celles du bas : la croissance de la mâchoire supérieure ne peut pas se faire et ce décalage va s’aggraver au fur et à mesure que l’enfant grandit !

- Lorsque l’enfant a toujours la bouche ouverte du fait de la position des incisives maxillaires :

il existe un réel risque de fracture des dents qui ne sont à aucun moment protégées par les lèvres. Il est donc primordial pour l’enfant d’entreprendre un traitement orthodontique précoce afin de protéger ses dents qui sont définitives !

Ainsi, on peut affirmer que grâce à un traitement orthodontique précoce, nous pouvons soit éviter un traitement orthodontique avec des bagues soit raccourcir ce traitement orthodontique avec les bagues.

De façon quasi certaine, nous pouvons éviter d’avoir recours aux extractions de dents définitives.

Nous pouvons éviter les accidents d’évolution type les dents incluses compliquant et rallongeant un traitement orthodontique avec des bagues à l’adolescence.

Nous favorisons donc le développement harmonieux des mâchoires et évitons d’avoir recours non seulement aux extractions dentaires mais aussi à un protocole orthodontique incluant une chirurgie maxillo faciale à l’âge adulte.

Les traitements orthodontiques précoces dits d’interception travaillent en sollicitant et redirigeant la croissance. Nous travaillons au niveau des sites de croissance de la cavité buccale en les stimulant ; nous exploitons ainsi le potentiel de croissance de l’enfant afin d’atténuer ou résoudre les dysharmonies des maxillaires.

Nous évitons ou simplifions de façon significative le traitement orthodontique à l’adolescence ou à l’âge adulte.

Enfin, la correction est orthopédique et elle est plus stable !

Enfin la solution des aligneurs transparents ou gouttières thermoformées chez les enfants ou les ados peuvent aussi être programmés avec des ailettes de propulsion et avec toujours le même principe de placer le patient en avancée mandibulaire pour solliciter le cartilage de croissance. Ces aligneurs sont amovibles mais doivent être portés jour et nuit

LE PATIENT N’EST PLUS EN CROISSANCE

Il s’agira des adultes et des filles (deux ans après l’apparition des règles où la croissance ralentit sévèrement) L’orthopédie dento faciale n’est alors plus possible puisque la croissance maxillo-faciale suit la croissance staturale. Donc si l’enfant ne grandit plus, il ne grandira pas non plus au niveau de son massif facial. Les options qui s’offrent aux adultes ou aux patients en fin de croissance seront :

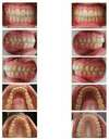
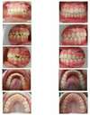
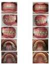
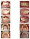
Les bagues Orthodontiques métalliques ou céramiques esthétiques. Elles sont collées sur la face extérieur des dents et sont associées à une mécanique d’élastiques en cas de décalage des mâchoires

La deuxième option sera alors des bagues linguales collées sur les faces intérieures des dents ; elles sont donc invisibles. Cette option nécessite un temps d’adaptation un petit peu plus long (environ 10-15jours) et des séances au fauteuil plus longues. La mécanique des élastiques peut également y être associée en cas de décalage. 

La dernière option consiste à traiter les patients grâce à des à aligneurs ou gouttières thermoformées qui sont à porter jour et nuit environ 18 heures sur 24 et qui peuvent également être associés à une mécanique d'élastiques intermaxillaires si besoin. 

LE PATIENT N’EST PLUS EN CROISSANCE ET LE DÉCALAGE EST IMPORTANT

Enfin chez le patient qui n’a plus de croissance. Si le décalage est trop important, le traitement d’orthodontie proposé peut être associé à une chirurgie maxillo-faciale, dans lequel on distingue trois étapes

La préparation Orthodontique pré chirurgicale qui se fait à l’aide de l’appareillage orthodontique  et qui prépare les arcades en plaçant de façon idéale les dents du haut sur la mâchoire du haut et les dents du bas sur la mâchoire du bas.

La chirurgie Orthognatique qui est le temps chirurgical ou le patient reste 3-4 jours en clinique et observera une alimentation semi liquide pendant une dizaine de jours. Un arrêt maladie de trois semaines sera fait par le chirurgien maxillo-facial. Et dans ce cas précis, la sécurité sociale pourra rembourser le patient adulte à hauteur de 193,50 euros sur 1 semestre seulement (celui de la chirurgie).

Le patient revient chez l’orthodontiste environ trois semaines après la chirurgie et s’ensuit une période de finitions Orthodontiques qui peut durer jusqu’à six mois. Dans tous les cas, et chez tous les patients, une contention orthodontique en haut et en bas sera prévue afin de stabiliser les résultats obtenus. 

Orthodontie et orthodontistes

L’orthodontie consiste à déplacer les dents et à modifier la croissance des mâchoires, afin d'obtenir un alignement dentaire harmonieux et d'améliorer les fonctions orales. Un orthodontiste est un chirurgien-dentiste, spécialisé en orthopédie dento-faciale.

enfant qui sourit

L’orthodontie et les déplacements dentaires

La plupart des traitements orthodontiques visent à déplacer les dents pour les réaligner. Des gouttières en plastique, ou des bagues qui sont de petites attaches métalliques collées sur la face interne ou externe des dents, peuvent être utilisées. Pour les traitements avec bagues, les déplacements se font le long d’un arc dont la forme permet de guider le mouvement des dents. Cet arc est changé régulièrement en fonction des mouvements que l’on souhaite obtenir. Des élastiques reliant la mâchoire du haut et du bas sont utilisés pour déplacer les dents dans le sens horizontal ou vertical.

L’orthodontie et la croissance des mâchoires

Certains enfants présentent une croissance de l'une ou des deux mâchoires trop lente ou trop rapide. Ces enfants peuvent bénéficier d’un traitement à l’aide d’appareils amovibles (appelés faux palais) ou fixes (appelés bagues) pour accélérer ou ralentir cette croissance. Cette correction n’est possible que chez l’enfant car il n’a pas fini sa croissance. Chez l’adulte la correction d’un décalage des mâchoires est envisageable mais elle devra s'accompagner d'une étape chirurgicale (traitement orthognatique).

portrait ado
Florence Behar, praticienne qui inspecte des dents de sa cliente
dent orthodontie

Les praticiens

Les chirurgiens-dentistes reçoivent tous, dans le cadre de leurs études, un enseignement théorique en orthodontie et effectuent des stages hospitaliers au cours desquels ils réalisent des traitements orthodontiques de base. Par ailleurs ils assistent à la mise en œuvre de traitements plus complexes effectués par des spécialistes. Certains complètent leur formation par des cours post-universitaire. En fonction de son expérience et du diagnostic posé, le chirurgien-dentiste peut, face à un patient requérant un traitement d’orthodontie, soit assurer lui-même cette prise en charge, soit adresser son patient à un spécialiste qualifié. De leur côté les spécialistes qualifiés en orthopédie dento-faciale s’engagent à n’exercer que l'orthodontie.

Les spécialistes qualifiés en orthopédie dento-faciale ou « orthodontistes »

Les spécialistes de l’orthodontie sont des chirurgiens-dentistes titulaires du Doctorat en chirurgie dentaire (six années d’études après un concours d’entrée commun avec les médecins) qui ont approfondi leur formation par un enseignement supplémentaire de quatre ans dans un domaine très précis : l’orthopédie dento-faciale.

Cette spécialisation s’effectue de manière à la fois théorique en Université, et clinique par le biais d’une expérience hospitalière en CHU. Ces quatre années de spécialisation sont sanctionnées par un examen national, le Certificat d'Etudes Cliniques Spéciales Mention Orthodontie (CECSMO).

Questions fréquentes

Toutes les réponses à vos questions

outils pour orthodontie

Le patient peut nécessiter un traitement d’orthodontie avant une réhabilitation, implantaire. En effet, pour redresser l’axe d’une dent le plus souvent une molaire qui se serait couchée due à l’absence prolongée d’une dent : Les dents sont programmées pour se toucher les unes à côté des autres et les unes en face des autres. Si une dent manque pendant une longue durée alors les dents de chaque côté vont se verser et vont tendre à fermer l’espace tandis que la dent d’en face va s’egresser, cherchant « sa copine d’en face ». L’orthodontie pre-implantaire, visera donc à rétablir un espace suffisant aussi bien en largeur qu’en hauteur afin que le futur implant puisse s’intégrer aux arcades du patients assurant ainsi une continuité et une coordination des arcades.

D'agénésies d’incisives latérales

Il peut s’agir également lors d’agénésies d’incisives latérales par exemple: l’orthodontie permettra de réouvrir l’espace selon des critères d’intégration esthétiques et fonctionnels d’ un futur implant. Souvent une dents de lait persiste et décompensation dentaire ce sont mises en place. L’orthodontie avant la pose d’un plan permettra de décompenser et de créer un espace suffisant pour un implant esthétique et fonctionnel.
L’implant ne pourra être posé qu’à la fin de la croissance. Chez les enfants présentant des agénésies des incisive latérales, un bridge collé sera réalisé par le dentiste en collaboration avec l’orthodontiste et constituera la solution d’attente de la fin de la croissance pour poser le futur implant.
Enfin, les micro-implants ou mini vis peuvent être intéressants en orthodontie, afin de constituer un ancrage osseux permettant d’éviter des effets parasites lors de mécaniques Orthodontiques, compliquées.

L’orthodontie est tout à fait réalisable chez un patient présentant une parodontite traitée et stabilisée.
L’orthodontie pourrait être réalisée avec des forces légères et continues et avec une surveillance radiologique tous les deux mois ainsi qu’une maintenance parodontale tous les deux ou trois mois.
Ainsi, un traitement Orthodontique peut être réalisé chez un patient présentant un support osseux réduit, mais saint. Il s’agira de travailler avec des forces plus légères et de contrôler cliniquement est radiologiquement plus souvent !

L’orthodontie peut être totalement contre-indiquée chez un patient présentant un support très réduit atteignant plus des deux tiers de la racine des dents, et dont la parodontite n’est pas stabilisée.
Un traitement d’orthodontie peut également être contre-indiqué chez un patient dont l’hygiène bucco-dentaire est très insuffisante. En effet, qu’il s’agisse de bagues Orthodontiques ou de gouttière thermoformées une hygiène bucco-dentaire soutenue doit être observée afin que les dents restent en bonne santé et que le parodonte reste sain.
La grossesse n’est pas une contre-indication à un traitement d’orthodontie.

Un blanchiment dentaire est tout à fait possible après un traitement d’orthodontie. L’important est de ne pas utiliser des produits trop concentrés qui pourraient révéler des hypersensibilités dentaire.
Lors d’un blanchiment dentaire, il est important d’observer les consignes relatives au blanchiment, à savoir ne pas manger d’aliments colorés tels que, les fruits rouges, les carottes, les betteraves et d’éviter la consommation de caféine et de théine.

La durée moyenne d’un traitement en orthodontie linguale est généralement comparable à celle d’un traitement avec des bagues classiques.

  • 12 à 24 mois pour la majorité des patients.
  • 6 à 12 mois pour un traitement limité à de l’alignement antérieur.
  • 24 à 30 mois pour les cas les plus complexes. (Dent incluse, décalage squelettique, traitement avec extraction).

Les facteurs influençant la durée du traitement orthodontique lingual :

1. La complexité du cas :

encombrement, léger : traitement plus rapide

encombrement, léger : traitement plus rapide
correction de classe II / classe III : traitements plus long

2. Le type de technique linguale :

les systèmes totalement personnalisé dit « sur mesure » sont souvent plus efficaces. Il s’agit du système Incognito ou Win.

Les systèmes standardisés sont souvent plus longs.

3. La coopération du patient est primordiale concernant :

le port des élastiques

la qualité du brossage et de l’hygiène bucco-dentaire

le suivi des rendez-vous réguliers.

4. L’âge du patient

Chez l’adulte, les mouvements peuvent être parfois un peu plus long que chez l’adolescent

Ainsi la majorité des traitements en orthodontie linguale durent environ 18 mois. C’est essentiellement la complexité orthodontique qui fait varier la durée, pas le type d’appareil.

Création et référencement du site par Simplébo Créer un site internet de dentiste

Connexion

Prendre rendez-vous en ligneDoctolib