Docteur Florence Hababou Behar - Orthodontiste Paris 8
Docteur Florence Hababou Behar - Orthodontiste Paris 8
Spécialiste Qualifiée en Orthopédie Dento-Faciale - CECSMO
Spécialiste en Orthodontie pour Enfants et Adultes

Orthodontie Invisalign® à Paris : Votre sourire aligné et esthétique

Qu'est-ce que l'orthodontie Invisalign®?

C’est un système d’alignement orthodontique qui consiste à porter une série d’aligneurs transparents et amovibles qui alignent progressivement les dents. Pas de bagues, pas de fils, pas de crochet. Les gouttières sont quasi invisibles pour vous et pour vos proches. Elles sont également amovibles et vous permettent de vivre votre vie normalement avec un minimum de contraintes. De plus, grâce à l’application de force modérée et constante, le traitement par gouttière d’alignement Invisalign® est moins douloureux.

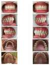
Appareil orthodontique pour adultes, cabinet paris 8
Appareil orthodontique pour adultes, cabinet paris 8

Le traitement orthodontique par gouttières d’alignement commence par une consultation avec le docteur Florence Behar qui procèdera à un examen clinique de votre sourire. Un plan de traitement numérique sur mesure sera alors élaboré représentant la transformation progressive de votre sourire. Une fois que vous avez accepté ce plan de traitement, les aligneurs seront fabriqués sur mesure pour vous. Vous devrez alors les porter 16 à 18h minimum par jour, et changer d’aligneur toutes les deux semaines environ. Chaque gouttière déplacera un peu vos dents jusqu’à la position souhaitée dans votre plan de traitement, c’est donc un traitement progressif jusqu’à l’obtention de l’alignement parfait de vos dents dans votre sourire.

Mon traitement sera-t-il pris en charge par la Sécurité sociale ou par la mutuelle ?

L’assurance maladie peut prendre en charge une partie des couts du traitement jusqu’au 16e anniversaire. Au-delà, votre traitement pourra être couvert en partie ou en totalité par votre mutuelle en fonction des garanties prévues à votre contrat. Pour plus d’informations, contactez directement votre mutuelle.

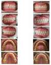
Appareil orthodontique pour adultes, cabinet paris 8
Appareil orthodontique pour adultes, cabinet paris 8

Est-ce qu’on peut prendre des chewing-gum quand on porte les gouttières d’alignement ?

Non ! les chewing-gum risquent de se coller sur les gouttières ! il est donc préférable de retirer ses gouttières d’alignement si vous avez envie d’un chewing-gum.

Discretion (quasi invisible) efficacité prédictibilité si les gouttières sont correctement programmées par un praticien orthodontiste certifié.

Amovibles, vous pouvez alors manger et boire tout ce que vous voulez.

Le brossage des dents n’est pas plus fastidieux, et vous pouvez passer du fil dentaire ou des Brossettes interdentaires sans rien changer de vos habitudes.

Les gouttières ne comportent ni bagues ni fil métallique qui pourraient vous irriter la bouche, les joues ou la langue ou qui risquerait de se casser Le matériau breveté, smarttrack rend les gouttières tres confortable et il offre un ajustement optimal de vos gouttières.

Les aligneurs sont découpés pour suivre la ligne de la gencive sans la blesser. Ils sont de ce fait esthétique et confortable.

Corriger le positionnements des dents avec ce traitement invisible

Avantages

Les gouttières d'alignement représentent aujourd’hui une alternative efficace au traitement d’orthodontie classique avec des bagues céramique ou métallique. Ces gouttières sont très discrètes et quasi invisibles. Elles permettent un accès aux patients adultes, à une orthodontie, discrète, avec un minimum de contraintes. Ces gouttières permettent de corriger dans la grande majorité des cas avec de très bons résultats et une grande discrétion. La durée moyenne d’un traitement est de neuf à 12 mois.

Inconvénients

L’inconvénient est tout d’abord de ne pas les perdre ou les casser ! Aussi, de bien se rebrosser les dents avant de les remettre surtout après le déjeuner

Les étapes du processus

avantages bagues orthodontie

Les processus de traitement
Scénario d un plan de traitement
Les gouttières arrivent dans des sachets individualisés scellés

Photos d une prise d empreintes numériques qui seront envoyés sur la plate forme logiciel (invisalign® Doctor Website) et qui permettra au Dr BEHAR de travailler sur le scénario de votre traitement par gouttières d alignement

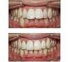
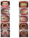
Traitement Invisalign® avant / après

traitement invisalign avant après à Paris par le  Docteur Florence Behar
traitement invisalign avant après à Paris par le  Docteur Florence Behar
traitement invisalign avant après à Paris par le  Docteur Florence Behar
traitement invisalign avant après à Paris par le  Docteur Florence Behar

Notre clinique spécialisée en orthodontie
Invisalign® Paris

  • Une équipe d'orthodontistes expérimentés et certifiés Invisalign®
  • Technologies et équipements de pointe pour un traitement optimal
avantages bagues orthodontie
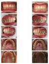
orthodontie pour adulte à paris 8

Le processus de traitement Invisalign® chez notre clinique à Paris

  • Consultation initiale et diagnostic
  • Création du plan de traitement personnalisé
  • Suivi régulier et ajustement des aligneurs
Avis Google Florence Behar - orthodontiste
Avis Google Florence Behar - orthodontiste
Avis Google Florence Behar
Avis Google Florence Behar

Le budget à prévoir pour un traitement par gouttière dépend de la complexité du cas et de la durée du traitement. Les tarifs peuvent varier
- pour un cas simple correspondant à une durée de traitement de 6-9 mois entre 2800 € et 36000€
- pour un cas plus complexe correspondant a une durée de traitement de 15-18 mois entre 4500€ et 6000€.
- pour un traitement de 2 ans ou plus, il faut compter environ 7200€
La prise en charge par la sécurité sociale peut être effective avant l’âge de 16 ans pour les adolescents, et la mutuelle pourra compléter. après 16 ans, ce ne sera que la Mutuelle qui pourra intervenir.

Le coût des traitements par gouttière de alignement varie en fonction de la durée du traitement et de la difficulté du cas. Pour un traitement à l’aide de gouttière d alignement type Invisalign R Il faut compter un budget à partir de 2800 euros

L’orthodontie chez le patient depuis le 16 ans n’est pas pris en charge par la sécurité sociale mais uniquement par la mutuelle en fonction de votre contrat. Le cabinet du docteur Florence Behar pourra vous accompagner dans vos démarches administratives avec votre mutuelle et vous propose des facilités de paiement. La prise en charge de votre traitement d’orthodontie sera variable d’une mutuelle à l’autre. Il sera donc nécessaire de vous rapprocher de votre mutuelle ou de lui envoyer le devis que le Dr Florence BEHAR vous établira afin de connaître précisément les remboursements auxquels vous pourrez prétendre.

Le docteur Florence Behar a bien conscience du budget d’un traitement d’orthodontie et pourra. Par conséquent vous proposer un étalement des règlements par mois afin de faciliter au mieux le financement de votre traitement. L’assistante du Docteur Behar se tient à votre disposition pour organiser avec vous la meilleure solution de paiement.

Création et référencement du site par Simplébo Créer un site internet de dentiste

Connexion

Prendre rendez-vous en ligneDoctolib