Docteur Florence Hababou Behar - Orthodontiste Paris 8
Docteur Florence Hababou Behar - Orthodontiste Paris 8
Spécialiste Qualifiée en Orthopédie Dento-Faciale - CECSMO
Spécialiste en Orthodontie pour Enfants et Adultes

Avant/Après

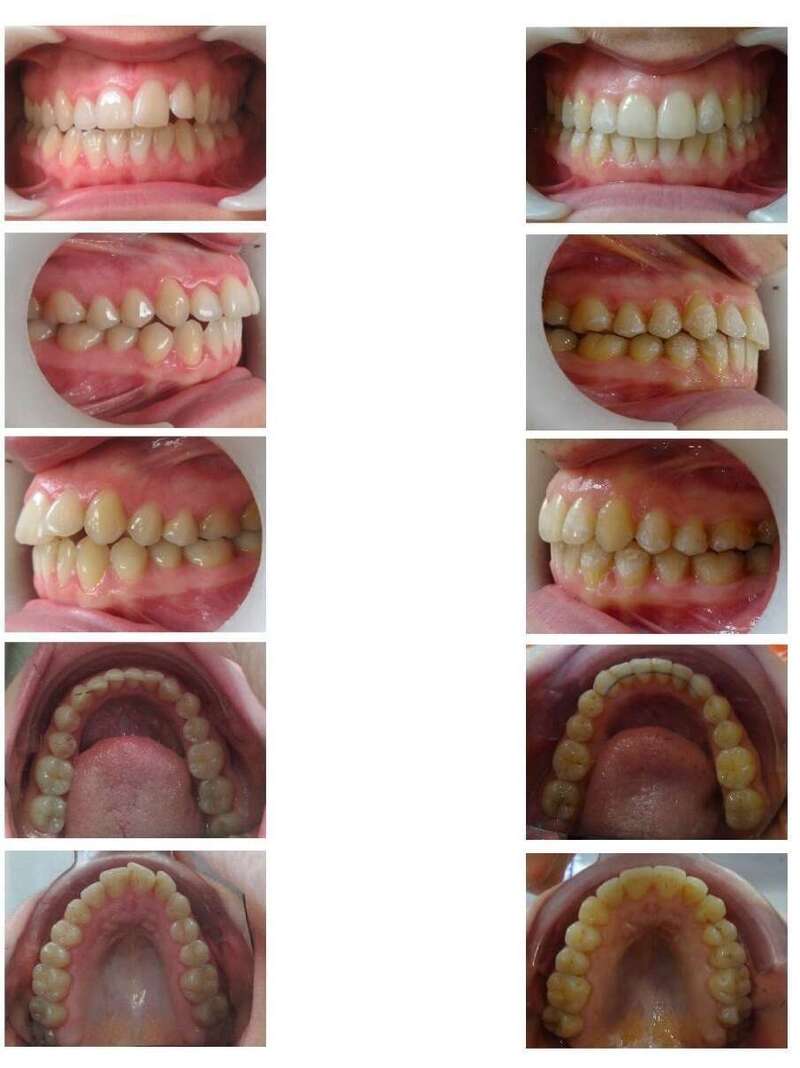
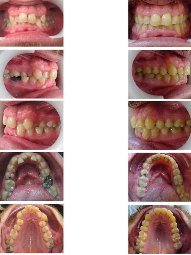
Avant après d’un cas traite avec des gouttières Invisalign sur une durée de 15 mois

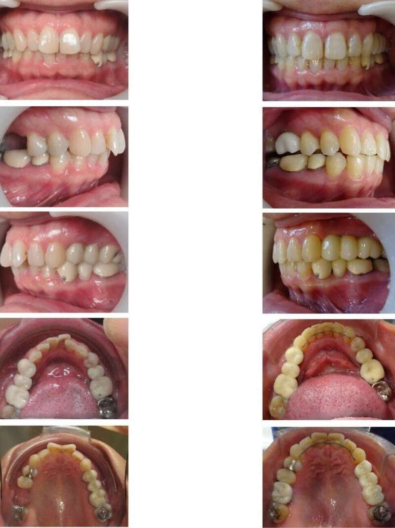
Cas d’un traitement Invisalign traité en 12 mois. Patient adulte

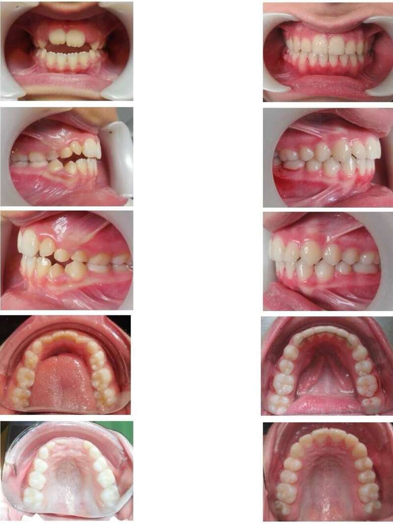
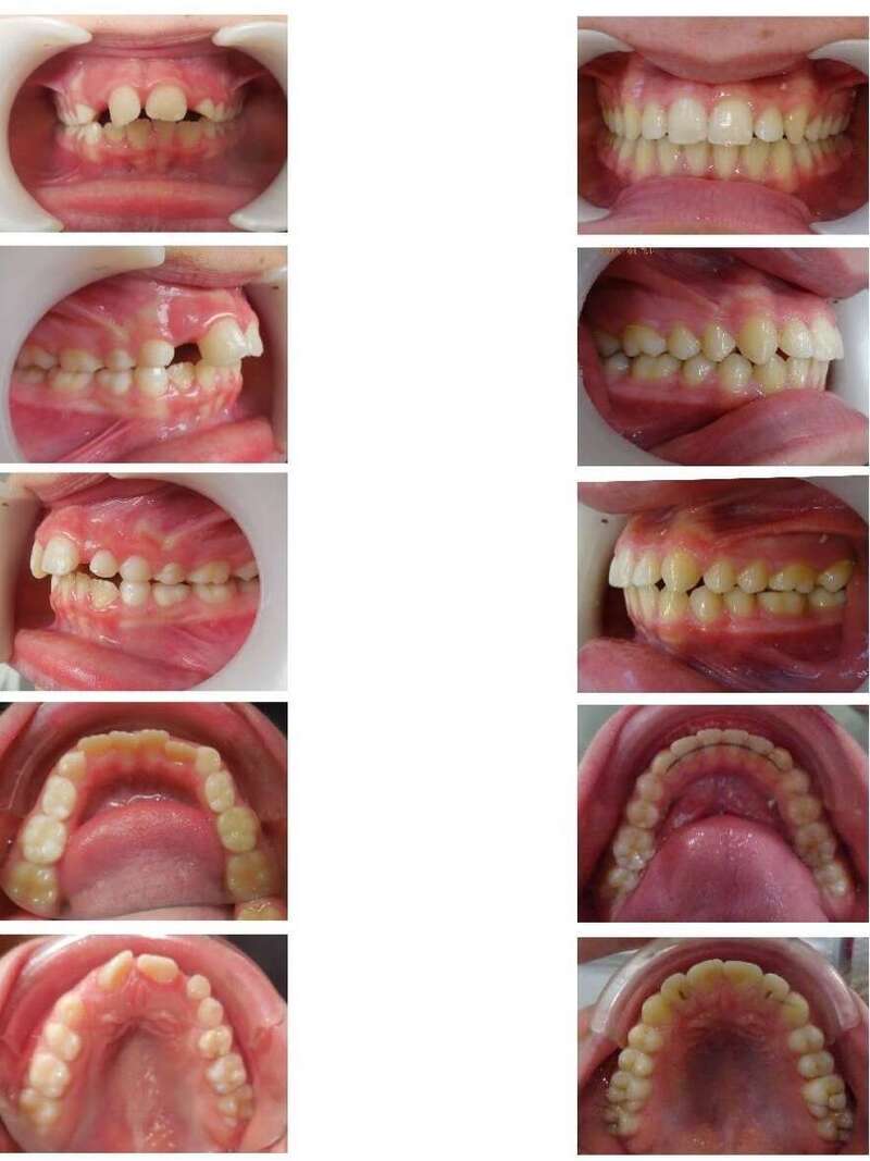
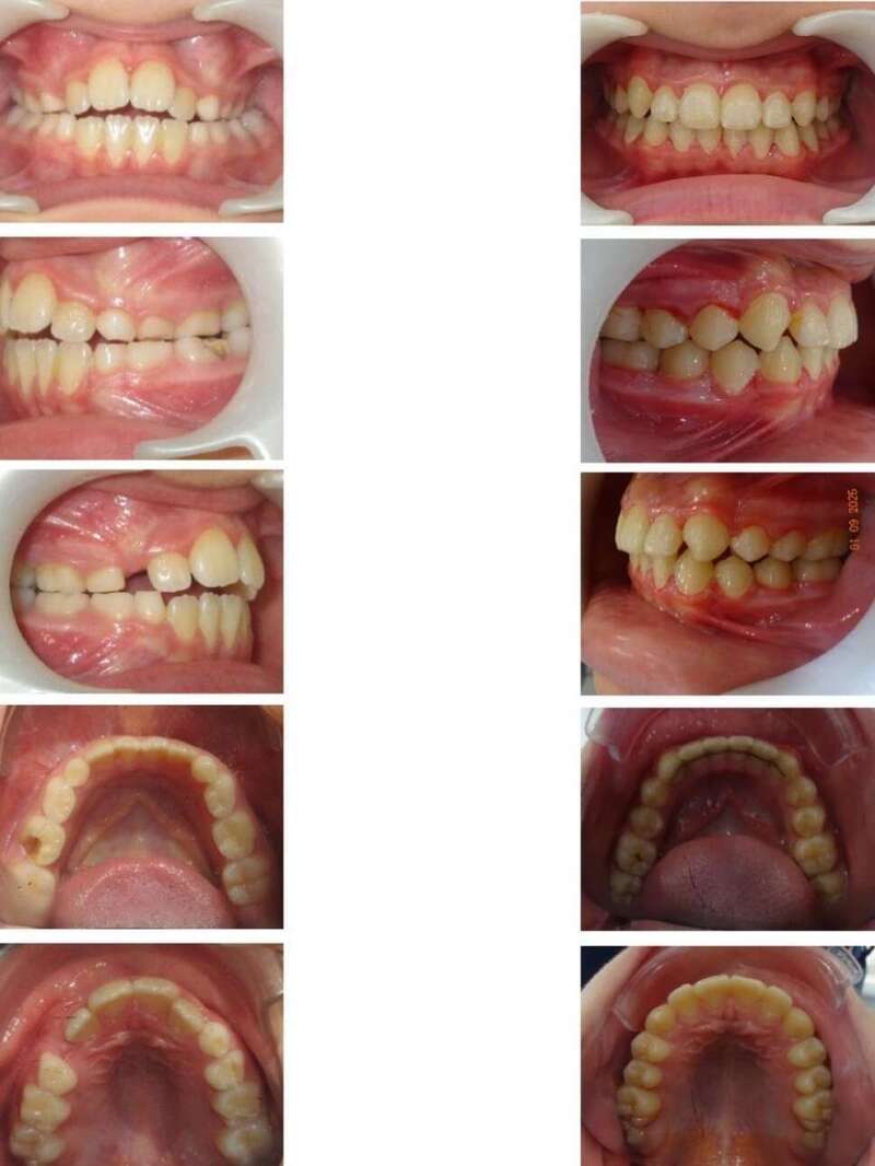
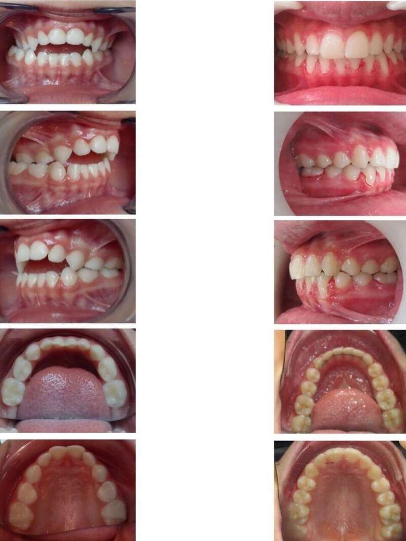
Cas d’un patient traité à l’aide d’un traitement précoce ( appareil amovible qui sollicite la croissance) à l’âge de neuf ans, puis à l’aide d’un appareil multi attaches (bagues)à l’âge de 12 ans

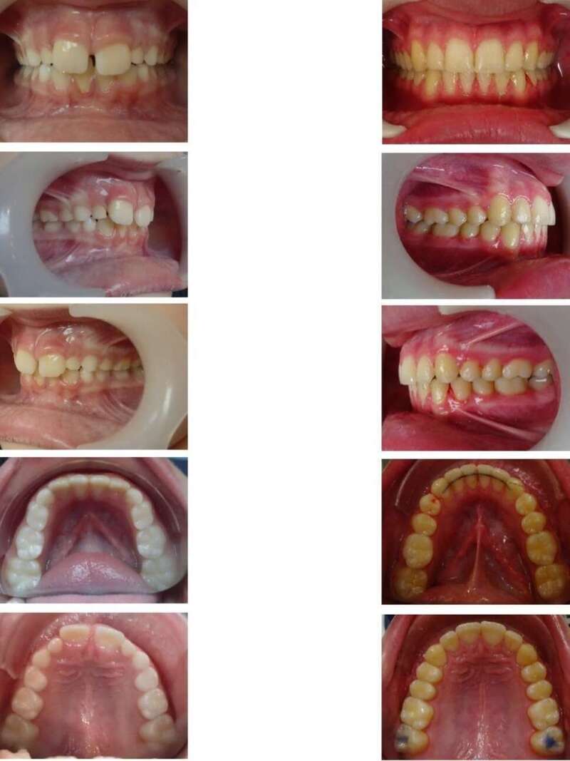
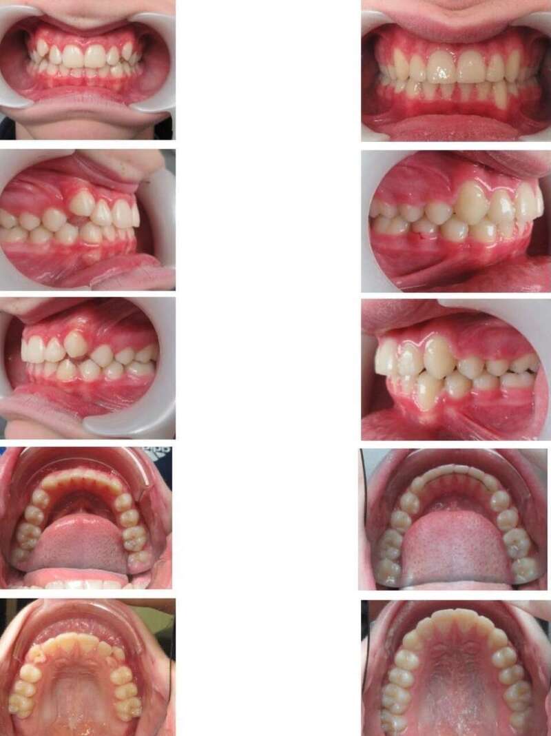
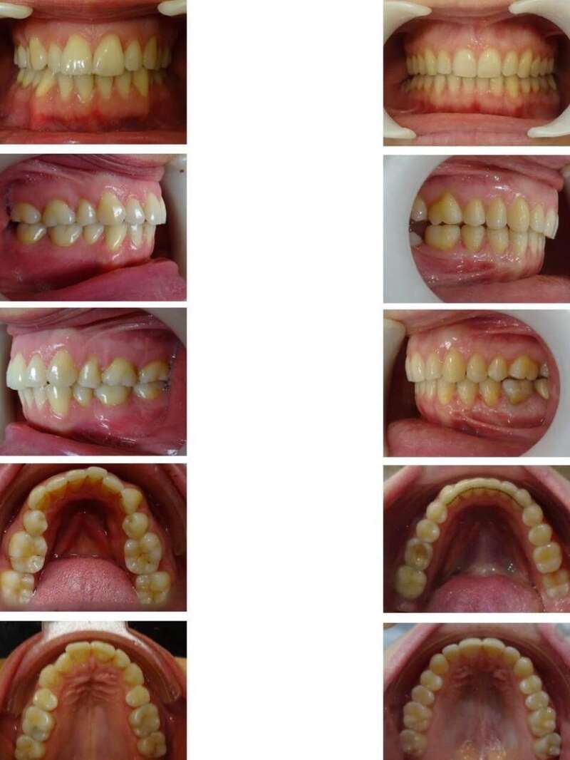
Cas d’une patiente adulte traitée à l’aide de gouttière d’alignement type Invisalign Traitement réalisé en neuf mois

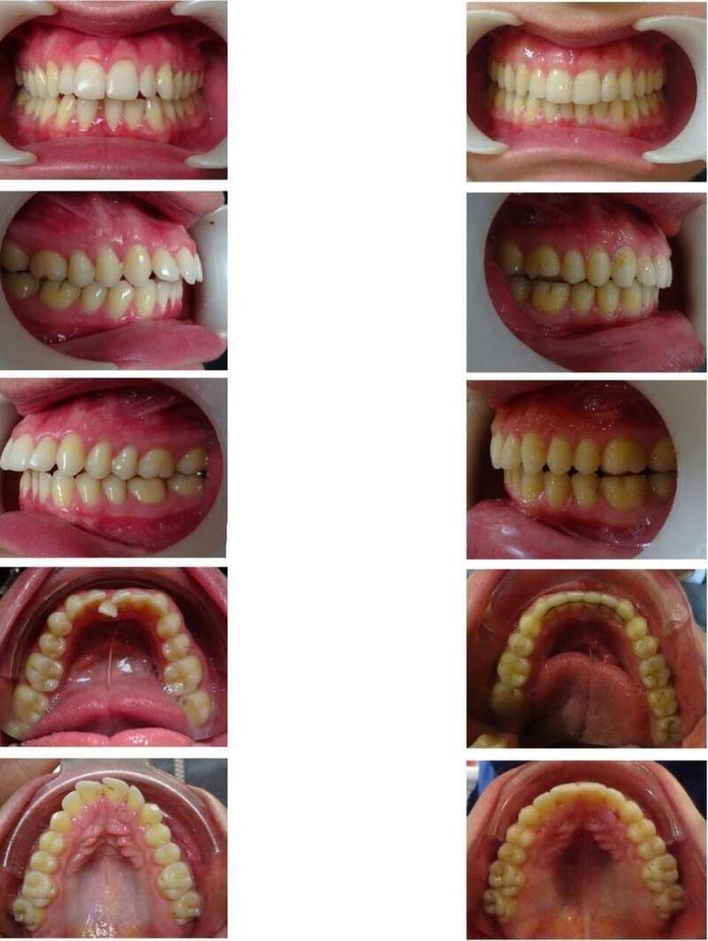
Patiente adulte, traité en 12 mois allait de gouttière d’alignement type Invisalign

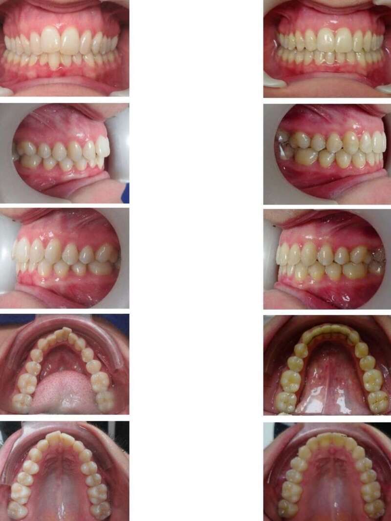
Patient adulte, traité à l’aide de bagues en céramique, traitement pendant deux ans

Patient enfant, traité à l’aide d’un appareil de nuit uniquement

Patient enfant 10 ans, traité allait d’abord d’un appareil de nuit pendant 12 mois, puis à l’aide de bague en céramique pendant 18 mois

Patient adulte, traité avec des gouttières d’alignement type Invisalign durée 12 mois

Patient adolescent, 13 ans, traité à l’aide de bague en métal, durée 18 mois

Patiente adulte, 55 ans, traité avec des gouttières d’alignement type Invisalign durée 12 mois

Patiente adulte, 30 ans, traité avec des gouttières d’alignement type Invisalign durée 12 mois

Patient enfant, traité à l’aide d’un disjoncteur, puis d’un appareil Multi attache (bagues métales ), durée totale deux ans

Patient adolescent 13 ans traité à l’aide d’un appareil multi attache ( bagues métales), durée deux ans

Patiente enfant six ans, traitée avec :

  • un appareil amovible d’expansion palatine,
  • puis d’un appareil amovible porté la nuit
  • et enfin d’un appareil Multi attache (bagues métales)

Patient 10 ans, traité à l’aide de :
Un disjoncteur intermaxillaire, puis un traitement Multi attache nomaxillaire (bagues céramiques), durée totale deux ans et demi

Patiente adulte, traitée à l’aide de gouttière d’alignement type Invisalign durée 12 mois

Patiente, neuf ans, traité à l’aide d’un disjoncteur intermaxillaire, puis d’un appareil de nuit, puis d’un appareil multi attache (bagues métalliques)

Patiente adulte, traité à l’aide de gouttière d’alignement type Invisalign durée 12 mois

Patiente adulte, traitée à l’aide de gouttière d’alignement type Invisalign, durée neuf mois

Création et référencement du site par Simplébo Créer un site internet de dentiste

Connexion

Prendre rendez-vous en ligneDoctolib